Hoffa fracture

Definition

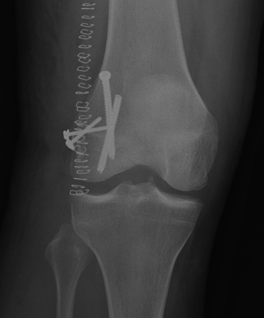
Hoffa Fracture Xray

 

Coronal plane fracture of distal femoral condyle

- intra-articular

- often only attachment is posterior capsule

 

Epidemiology

 

Rare

 

Mechanism

 

Usually a severe valgus trauma

 

Xray

 

1. Unicondylar

 

Lateral femoral condyle > medial femoral condyle

 

Hoffa Fracture Xray


2. Bicondylar

 

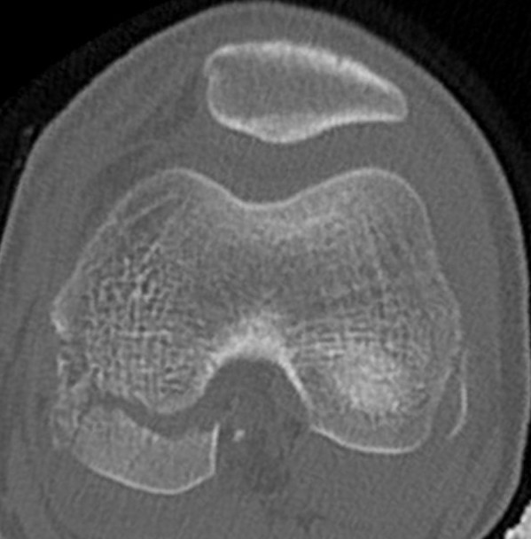
CT

 

Aids surgical planning

 

Medial Hoffa CT 1Medial Hoffa CT 2Medial Hoffa CT 3Medial Hoffa CT 4

 

MRI

 

Excludes associated LCL / MCL injury

 

Hoffa Fracture MCL Avulsion MRI 1Hoffa Fracture MCL Avulsion MRI 2

 

Management

 

Issue

 

Usually unstable and intra-articular

- needs ORIF

- can be associated with LCL injuries

 

Must preserve the posterior soft tissue for vascularity

 

Options

 

Lateral Approach

 

May need combined approach

 

a. Lateral between ITB and LHB

- elevate ITB

- open joint capsule anterior to gastrocnemius, posterior to LCL

- preserve lateral meniscu inferiorly

 

b. Lateral parapatellar

- may be needed for reduction

- allows AP screws

 

Vumedi video

https://www.vumedi.com/video/repair-of-displaced-partial-articular-fracture-of-the-distal-femur-the-hoffa-fracture/

 

Medial approach

 

Medial Hoffa ORIF 1Medial hoffa ORIF 2

 

a.  Medial approach to knee

- semimebranosus inferior

- gastrocnemius posterior

- MCL anterior

- open posteriomedial capsule

- preserve medial meniscus inferiorly

 

b. Medial parapatellar

- allows direct reduction

- allows AP screws

 

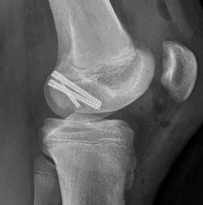
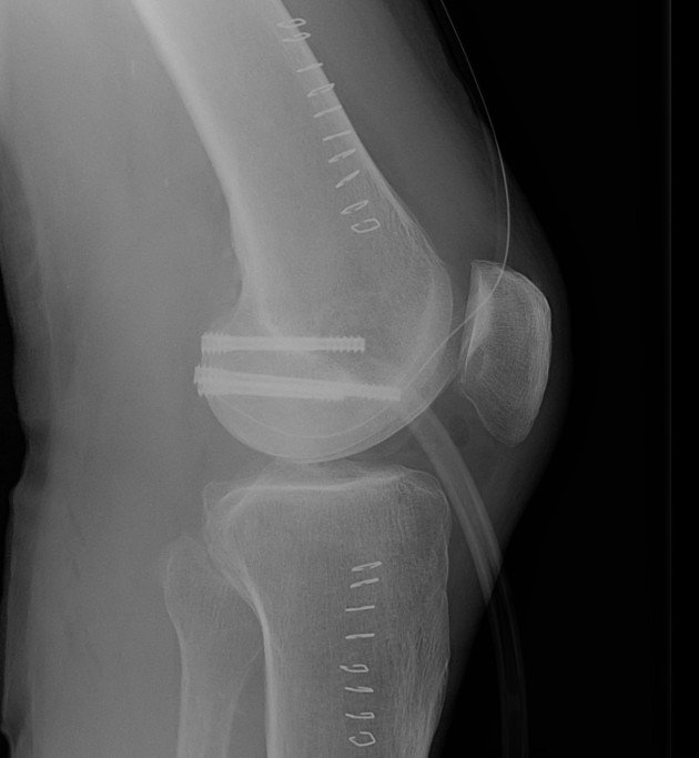
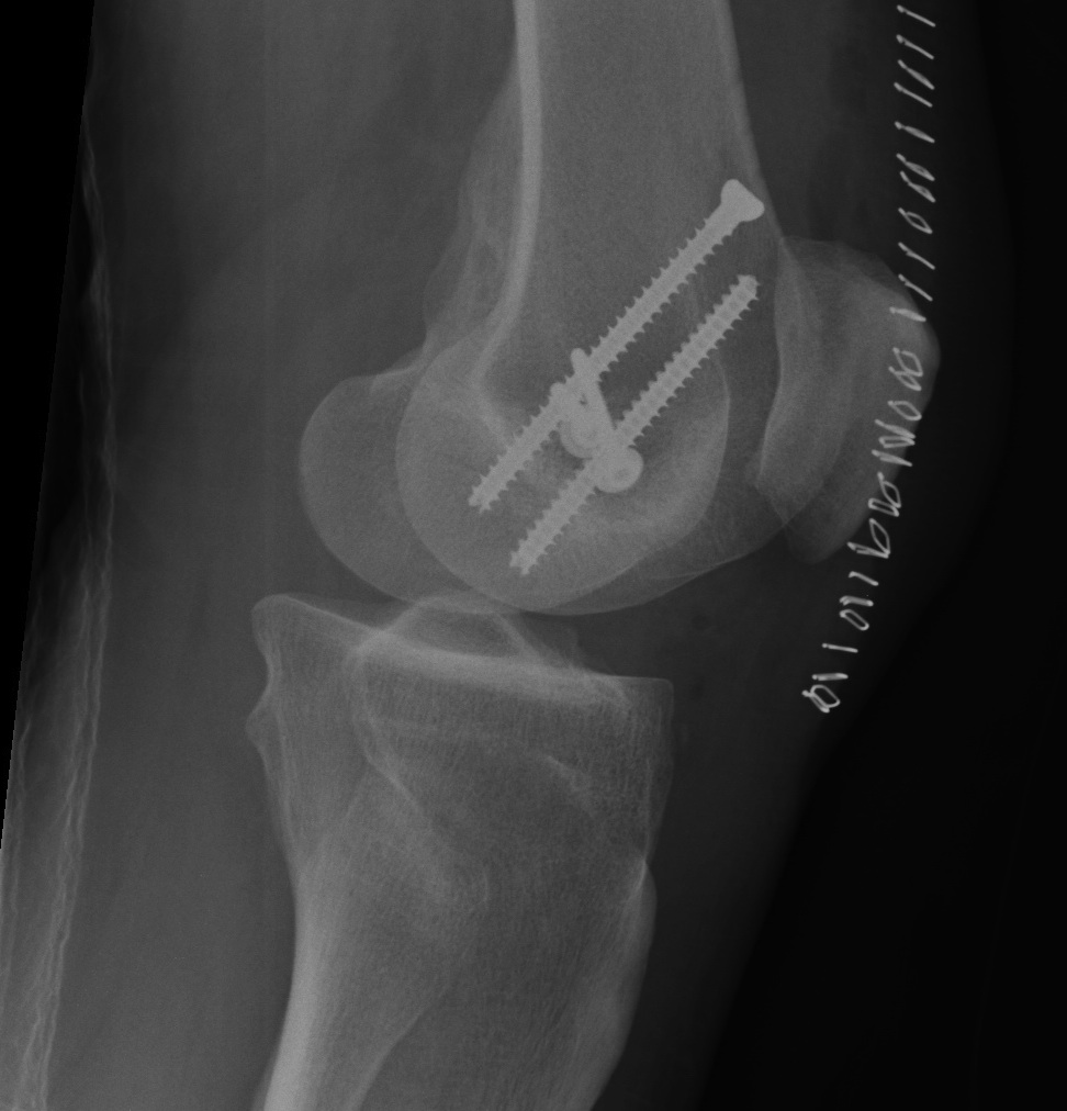
Unicondylar Fixation

 

1.  AP screws

 

Hoffa Fracture ORIF APHoffa Fracture Lateral

 

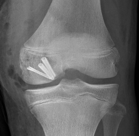
2.  PA screws

 

Hoffa Fracture ORIF PA screws

 

3.  Combined

 

Hoffa fracture

 

4.  Consider buttress plate

 

Lu et al. J Int Med Research 2019

https://www.ncbi.nlm.nih.gov/pmc/articles/PMC6384458/pdf/10.1177_0300060518798224.pdf

 

Bicondylar fixation

 

Lee et al. Case Report Ortho 2014

- lateral parapatellar approach with tibial tuberosity osteotomy

https://www.ncbi.nlm.nih.gov/pmc/articles/PMC4124765/pdf/CRIOR2014-139897.pdf

 

Results

 

Trikha et al. J Orthop Surg 2017

- 32 cases

- all united

- no athrithris

- stiffness in 4

- recommend early and aggressive ROM

https://pubmed.ncbi.nlm.nih.gov/28673200/

 

Onay et al. Injury 2018

- 13 patients

- OA developed in 50%

- AVN developed in 2/12

https://pubmed.ncbi.nlm.nih.gov/29198374/