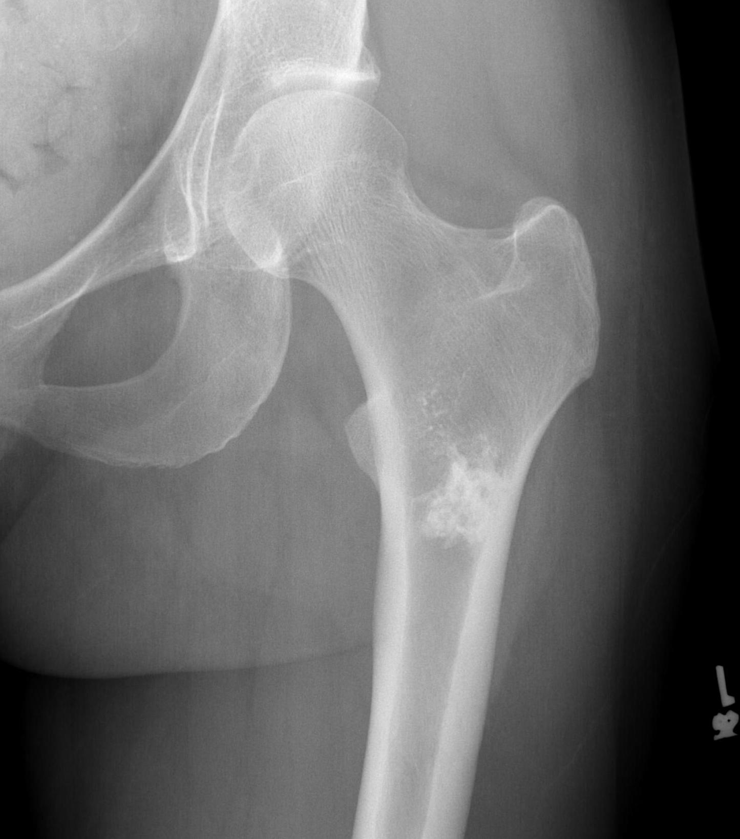
Enchondroma


Definition
Benign intramedullary cartilage lesion
Etiology


Benign intramedullary cartilage lesion
Most common bony tumour of hand
Risk malignant transformation isolated lesion is < 2%
- more likely in long bones than hands
Proximal phalanx > middle
Ollier's
- multiple enchondromatosis
- risk of transformation 10 - 25%
Maffuci's

Benign intramedullary cartilage lesion
Enchondroma are presumed to be remnants of hyaline cartilage
- derived from the epiphyseal growth mechanism that failed to undergo enchondral ossification
10% of benign bone tumours