Symptoms
Period of pain relief after disc surgery
- followed by increasing back pain & occasional leg pain
Pain may be disproportionate to physical findings
Low grade fever common
SLR & femoral stretch tests elicit pain in some cases
Bloods
Normal WCC common
ESR & CRP elevated
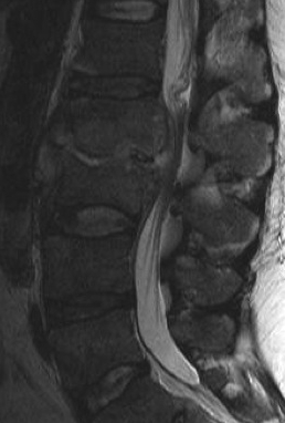
Xray / MRI


MRI with Gadolinium
Investigation of choice
- well vascularized inflammatory tissue enhances on T1


Osteomyelitis changes include
- confluent hypointensity of involved bodies on T1
- hyperintensity of involved bone and disc on T2
- loss of distinction of involved bone & disc
- abnormal disc appearance
Management
Medical management
CT guided aspirate if culture required
- appropriate antibiotics
- brace
Surgical Indications
Failure non operative management
Epidural abscess
Deformity

Options
1. Percutaneous Discectomy and Drainage
Li et al Arch Orthop Trauma Surg 2011
- 31 patients with post-operative discitis
- half had positive cultures, other half sterile
2. Laminectomy and Drainage