
Pathology
Premature fusion of the volar & ulna aspects of the distal radius
- progressive ulnar & volar tilt of distal radial surface
Ulna becomes prominent through normal growth & subluxes dorsally
Lunate lies deeply between lower end of radius and ulna
Aetiology
1. Volar-ulnar radial physeal arrest
- focal physeal dysplasia
2. Carpal tether from same area to lunate
- Vicker's ligament
Anatomy Vickers' ligament
Vickers describes fibrous band
- runs from radius to lunate
- volar position
- large ligament ~ 0.5cm diameter
- may be the cause
- if excise early / before age 8 the radius improves in shape
Epidemiology
Idiopathic condition
- AD with incomplete penetrance
- F > M
- often bilateral
Association
Turner's Syndrome
Disorder of gonadal differentiation
- 45 X / XO
- female phenotype / sterile
- webbing of neck
- low posterior hairline
- cubitus valgus
- cardiac abnormalities
DDx Madelung Deformity
Post Traumatic
Enchondromatosis (Ollier's)
Hereditary Multiple Exostoses
Turner Syndrome
Idiopathic = Dyschondrosteosis
Infection
General dysplasia
Classification
Madelung's - ulnar, volar
Chevron - ulnar, central
Reverse Madelung - ulnar, dorsal
Clinical
Usually asymptomatic and good function
Wrist is in radial deviation
Dorsal subluxation of distal ulna
Reduced dorsiflexion / supination
NHx
Not apparent in childhood
Usually becomes obvious as hits adolescent growth spurt
X-ray
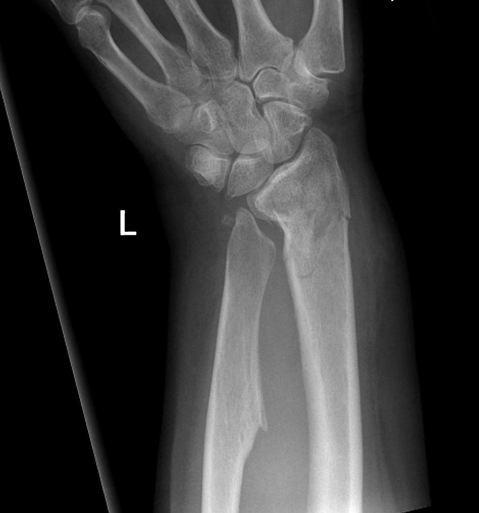
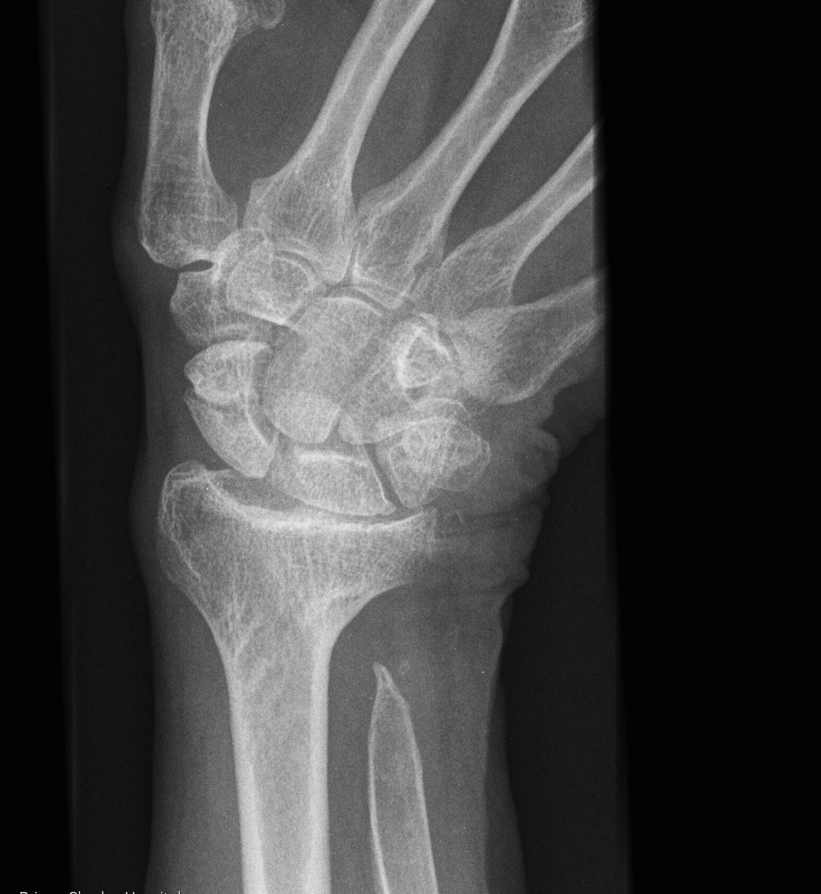
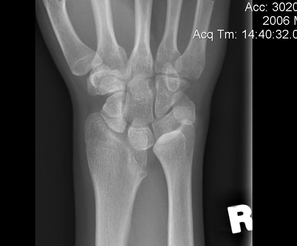
Volar-ulna tilt of the distal radius with dorsal subluxation of ulna / distal radius triangular shape
Proximal carpal row becomes wedge shaped
- lunate "falls into" the radio-ulna gap
DRUJ widened
Chevron
- proximal carpal row distorted / V-shape
- lunate in apex between radius and ulna
MRI
Look for Vicker's ligament
Management
Mothers function is a good guide to management
Surgical Indications
1. Pain
- must operate
- surgery very good at relieving pain
- in adults division Vickers' ligament almost always relieves pain
2. Deformity
- deformity starts ~ age 9 years (doesn't occur much before then)
- best to operate early as will get good result
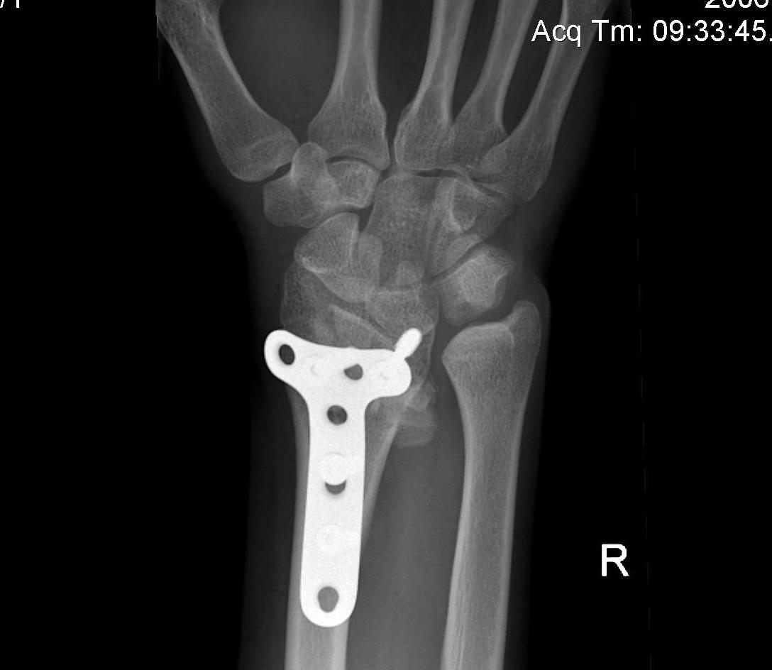
Options
1. Excision Vicker's ligament + Epiphysiolysis of fused physis with fat graft
2. Complete epiphysiodeses
3. Epiphysiodeses of distal Ulna
4. Ulna Shortening / Darrach

5. Opening Wedge Osteotomy

6. Wrist Arthrodesis

