Definition
Buckle or Torus fracture
- metaphyseal-diaphyseal junction
- compression fracture
- compression side has undergone plastic deformation
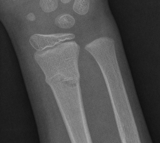
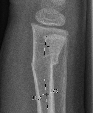
Greenstick Fracture
- diaphyseal injury
- failure tension side
- plastic deformity compression side


Plastic Deformity
- microscopic failure
- forearm and fibula
Ossification
Primary ossification centres
- diaphyseal
Secondary ossification centres
- epiphyseal
Physeal Anatomy
Reserve Zone
- few cells, high matrix
- cells from Groove of Ranvier
- cells quiescent
Proliferative Zone
- cellular proliferation / mitosis
- columns of cells
- longitudinal growth
- metaphyseal side
Hypertrophic zone
A. Maturation
- enlarged, swollen, vacuolated
B. Degeneration
- increase Alk Phos
- increases phosphate for calcification
C. Provisional calcification
- ECM calcify
- cell death
Perichondral Ring of La Croix & Groove of Ranvier
Surround the physis circumferentially at its periphery
Groove - resting and proliferating cells
Ring - cartilage cells that move towards the metaphysis and become contigous with periosteum
Salter Harris Classification

I. Whole epiphysis is separated from shaft
II. Fracture through metaphysis and physis
III. Separation of part of the epiphysis
- fracture through physis and epiphysis
IV. Fracture passes vertically through epiphysis / physis / metaphysis

V. Crushing of part or all of the epiphysis
Physeal fractures
Thought to occur primarily through hypertrophic zone
Reserve zone injury
- increased growth arrest with proximal tibia and distal femur
- because of undulating course of physis
- more likely damage to germinal or resting layers
Management
Do not remanipulate physeal injuries > 7-10 days
- risk injury
- exception type 3/4
- in these anatomical reduction more important
Metaphyseal / diaphyseal
- can MUA up to 3 weeks after