Incidence
Very rare
Associated Injuries
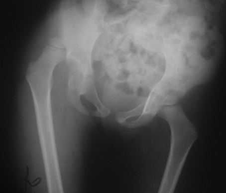
SH type 1 femoral epiphysis most common

Management
Closed Reduction
Assess concentric reduction
Assess stability
Apply spica / traction for 2 weeks
Imaging to ensure no fracture fragments
Open Reduction
Indication
- displaced femoral epiphysis
Technique
- anterior approach / digastric osteotomy
- reduce eiphysis and neck
- long screw crossing physis
Results
Nirmal et al Arch Orthop Trauma Surg 2009
- 5 cases, 2 with redislocation
- recommended extreme caution post operatively in children < 10 years