Characteristics
Short limbed dwarfism, normal trunk and spine
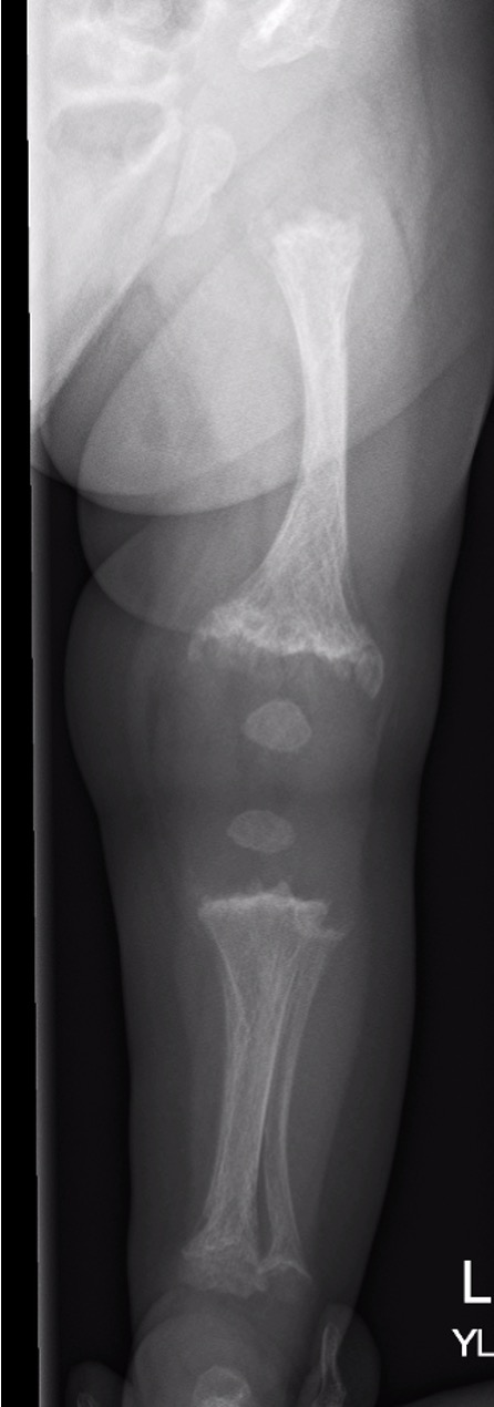
Metaphyseal changes of tubular bones
- normal epiphyses
- metaphysis adjacent to physis very broad and mildly scalloped
- resembles healing rickets
X-ray


Sclerosing bone deformity
- usually incidental finding on xray
Erlenmeyer Flask Deformity
Pathology
Defect in proliferative and hypertrophic zones of physis
Autosomal recessive
Types:
Jansens (Rare)
- most severe
- defect PTHrP (AD)
- extensive calcification
- retarded
- very short
- striking bulbous metaphyseal expansion long bones
Schmid's
- more common, less severe
- present later (AD)
- defect type X collagen
McKusick
- associated immune defects
Clinically
Hips
- coxa vara
Knees
- genu valgum
DDx
Rickets
- normal blood tests
Metaphyseal Dysplasia
AKA Pyle's Disease
No dwarfism (c.f. chondrodysplasia)