
Definition
Fracture of the pelvis caused by a low energy fall
Usually secondary to osteoporosis
Bleeding
Incidence of bleeding low unless on anticoagulation
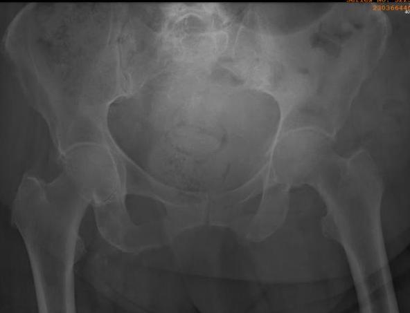
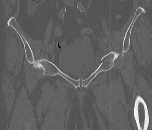
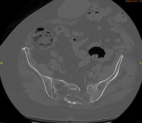
Fracture pattern
Lateral compression injury
- pubic rami fracture
- sacral alar fracture


Classification
Rommens and Hofmann Injury 2013
- case series of 245 patients
- only 17.5% had isolated anterior ring injury on CT
Rommens and Hofmann Classification (CT)
Type I: Anterior pelvic ring only (17.5%)
Type II: Non displaced posterior pelvic ring (50%)
Type III: Displaced unilateral posterior pelvic ring (10%)
Type IV: Displaced bilateral posterior pelvic ring (20%)
Natural History
Omichi et al Eur J Trauma Emerg Surg 2022
- 552 fragility fractures treated nonoperatively with 2 year follow up
- 90% survival at one year, 80% survival at two years
- walking ability affected in Type III
- type III had lowest survival
Nonoperative Management
Indications
Type I
Type II
Operative Management
Indications
Type III
Type IV
Techniques
Posterior
Posterior SI screws +/- cement augmentation
Trans-sacral screws
Anterior
Retrograde trans-pubic screws
Plate
Outcomes
Operative versus Nonoperative
Osterhoff et al J Orthop Trauma
- comparison of 82 patients treated nonoperative to group of 148 treated with early surgery if failed early mobilization
- at one year, mortality 17% in nonoperative compared to 23% early operative
- higher mortality rate and early complication rate in early operative group
- no difference functional outcome
Walker et al J Orthop Trauma 2018
- retrospective review of isolated sacral fragility fracture
- 16 operative (trans-iliac trans-sacral screw) and 25 nonoperatively
- surgery reduced early pain, improved early walking, and improved discharge to home
Surgical Technique
Wilson et al BMC Musculoskeletal Disorder 2021
- systematic review
- increased failure rate when a single unaugmented SI screw was used
- RCT percutaneous screw +/- sacroplasty
- 26 in each group
- no improvement of clinical outcome with sacroplasty