Background

 

Types

 

Proximal humerus

Surgical neck of humerus

Proximal third Midshaft

Distal 1/3

extra-articular

Distal 1/3

intra-articular

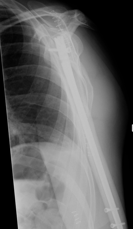
3 part Humerus shaft nonunion Humerus shaft Holstein Lewis fracture Distal 1/3
         

 

Nonoperative Management

 

Indications

 

< 20o sagittal

< 30o coronal

< 3 cm of shortening

 

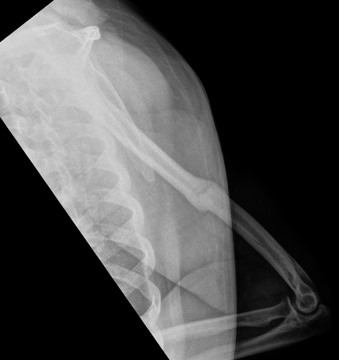
Undisplaced Humeral Fracture APUndisplaced Humeral Fracture Lateral

 

Options

 

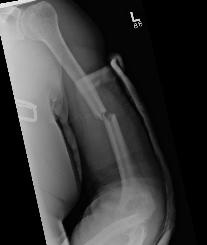
1.  Vietnam Cast / hanging cast

 

2.  Functional bracing / Sarmiento

 

Functional Humerus Brace

 

Humerus shaft 1Humerus shaft 3Humerus shaft 4Humerus shaft 5

Union of a midshaft humerus fracture treated nonoperatively

 

HumHumHumHum

Union of distal humerus fracture treated nonoperatively

 

Results

 

Union rates

 

Denard et al Orthopedics 2010

- non operative v operative treatment 213 fractures

- non operative: 20% nonunion and 12% malunion

- operative group: 8% nonunion and 1% malunion

- no difference in time to union in two groups

 

Ali et al. J Shoulder and Elbow Surgery 2015

- retrospective review of 138 patients treated nonoperatively

- 17% nonunion (24/138)

- proximal fractures highest nonunion rate

 

Time to union and functional outcome

 

Papasoulis et al. Injury 2010

- literature review of functional bracing humerus shaft fractures

- average time to union 10.7 weeks

- full shoulder ROM in 80%

- full elbow ROM in 85%

 

Complications of nonoperative care

 

SarmientoSarmiento

Intolerance of sarmiento brace

 

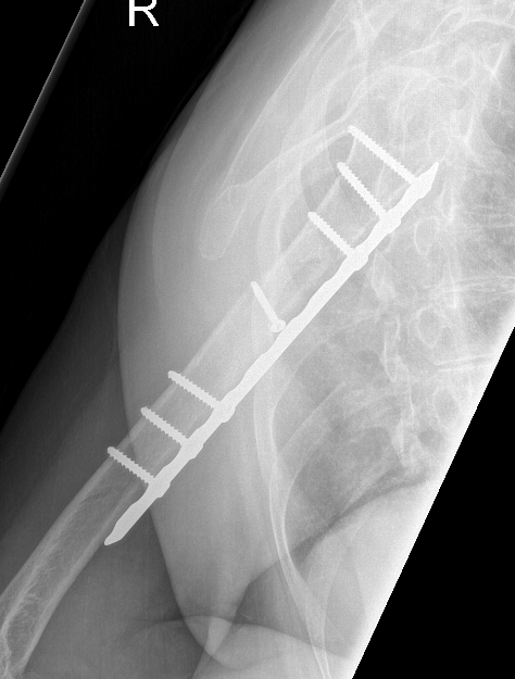
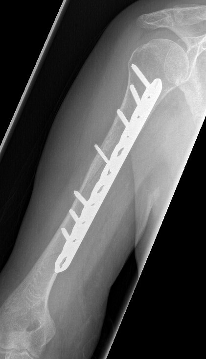
Humerus shaft nonunionHumerus nonunion

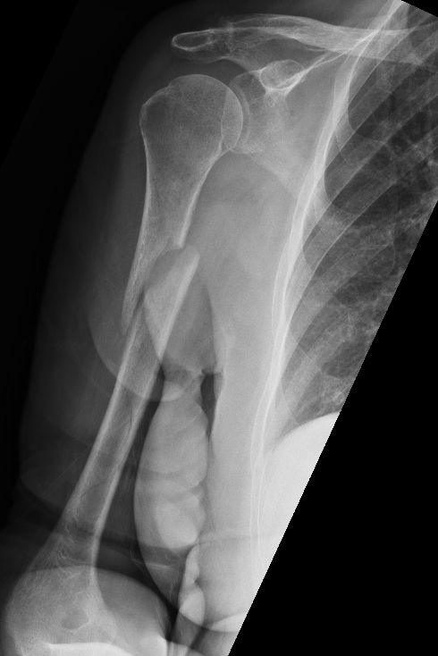
Nonunion in a proximal humerus shaft fracture treated nonoperatively

 

NonunionHumerus nonunion

Nonunion in a proximal humerus shaft fracture treated nonoperatively

 

Radial Nerve Injury

 

Incidence

 

Shao et al. JBJS Br 2005

- systematic review of humerus shaft fracture

- 11.8% (532/4517) radial nerve injuries

- most common with middle, and middle/distal fractures

- 70% spontaneously recovered without intervention

- recovery rate 88% in those undergoing delayed exporation (14 weeks)

- recovery rate 88% in those undergoing immediate exploration

 

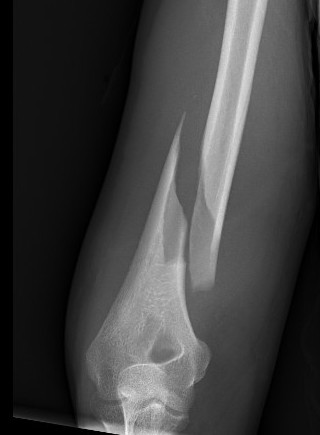
Holstein Lewis fracture

 

Holstein Lewis fractureHolstein Lewis

 

Holstein-Lewis JBJS Am 1963

- series of 7 oblique distal third fractures with radial nerve injury

- all were treated operatively

- nerve in fracture gap in 2 / impaled in 1 / severed in 2 / contused +/- in callus in 2

- advised against attempted closed reduction

- risk of contusing nerve between fragments

- advised early open reduction through anterolateral approach

- the radial nerve is closely assoicated with the fracture site and the fracture spike

 

Korompilias et al. Injury 2013

- 25 patients with complete nerve palsy and humerus shaft fractures

- 13 fully recovered by 12 weeks

- explored 12 patients with no recovery at 16 weeks

- nerve lacerated in two patients

- intact in remainder - these fully recovered by 20 - 24 weeks

 

Management

 

Absolute indications for exploration

- open fractures

- radial nerve palsy following closed reduction

 

Relative

- Holstein-Lewis fracture patterns

- patient undergoing ORIF

- no recovery at 10 - 12 weeks

 

Expectant management

- wait 10 - 12 weeks

- if no recovery EMG

- consider exploration +/- neurolysis +/- nerve graft at that time

- if that fails, tendon transfer for radial nerve palsy

 

Operative Management of Humeral Shaft Fractures

 

Indications

 

Displaced Humeral Fracture APDisplaced Humeral Fracture Lateral

 

Absolute

 

Compound fracture

Failure to obtain / maintain acceptable reduction

Radial nerve palsy post reduction

Nonunion

 

Relative

 

Multi-trauma

Floating elbow

Segmental fracture

Proximal fracture

Displaced Holstein Lewis with radial nerve palsy

Pathological fracture - won't heal

Bilateral humeral fractures

Obese (very difficult to splint)

Brachial plexus injury - allows early rehab

 

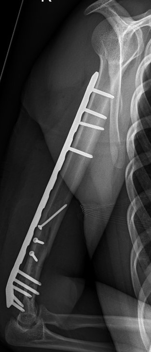
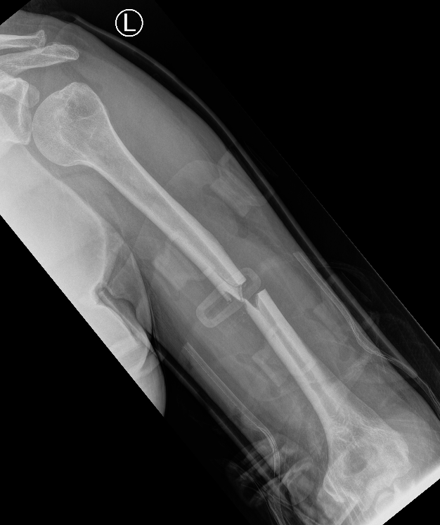
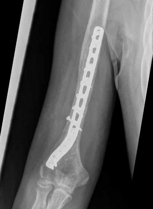
Humeral Fracture SegmentalHumeral Plate LateralHumeral Plate Long AP

Segmental fracture ORIF

 

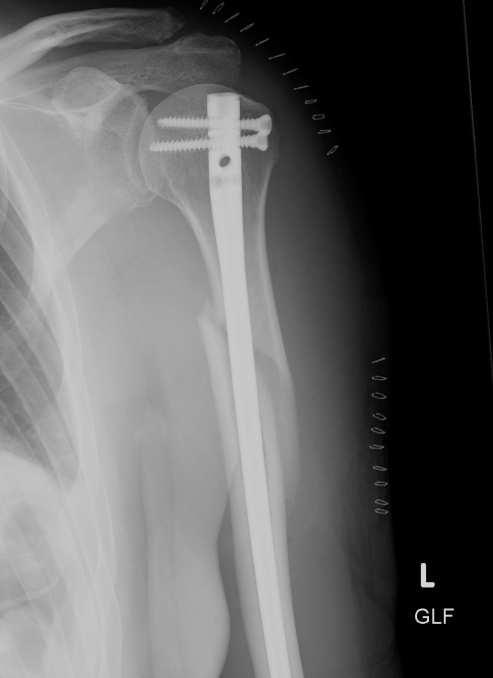
Prox humerus 1Prox humerus 2Prox humerus ORIFProximal humerus ORIF

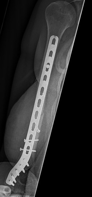
Proximal third humerus ORIF of nonunion