
Likely Origin / Hexagon / PBLTK

Most common site for "unknown primary"
- lung 63%
- kidney 10%
Most common "known primary"
- breast and prostate
Destombe et al Joint Bone Spine 2007
- 152 patients with bony metastasis with unknown primary
- lung 24%
- prostate 17%
- breast or female genital tract 16%
- urinary system 7%
- gastrointestinal tract in 7%
- no primary was identified 22%
Plan
Medical history
Physical examination
Xrays
Blood tests
Bone scan
CT chest / abdomen / pelvis
Biopsy
Medical History
Previous malignancy
Symptoms for most likely primaries
- history smoking, coughing up blood
- breast lumps
- blood in urine
- bowel disturbance / blood
Fevers / temps / generally unwell / anorexia / weight loss
Physical examination
Breast in women
Prostate in men
Lymph nodes
Thyroid in neck
Skin lesions
X-ray
Bone involved
Any other bones with pain
CXR

Lung metastasis
Blood tests
CBC / Electrolytes / Liver function tests
ESR / CRP
TFT
PSA
Serum electrophoresis / Bence Jones protein urine
Calcium, Phosphate, Alk Phos
LDH
Bone scan / PET-CT
Polyostotic / monostotic
False negative 10% - Myeloma / Melanoma / Renal cell carcinoma


Multiple vertebral and rib metastasis bone scan PET scan breast cancer
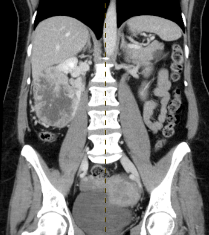
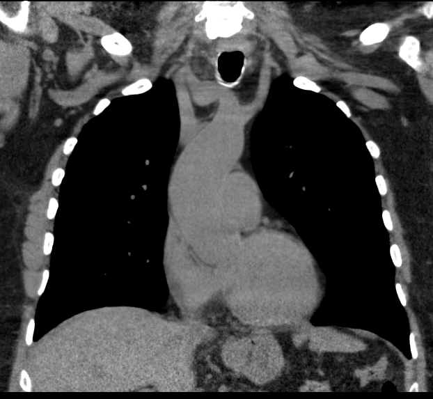
CT Chest/ Abdomen / Pelvis
Lung / bowel / renal primary
Lung metastasis


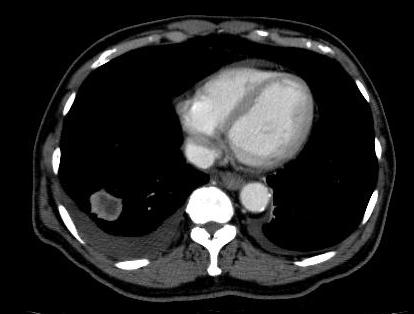
Lung cancer Renal cell cancer

Lung metastasis
Biopsy
Multiple lesions
- biopsy most accessible
- particularly imporant in oligometastatic disease
Verspoor et al, Ann Surg Oncol 2023
- Retrospective RV of 153 patients with pathological femur fracture and history of malignancy
- 24% got a a new diagnosis after biopsy
- of the new carcinoma:sarcoma:haem = 40:40:20%
- therefore ~10% are sarcoma
Isolated bony lesion
- need to treat as primary bone tumour
- stage locally / MRI
- consult with tumour unit
- discuss biopsy procedure
Bone marrow biopsy - lymphoma / myeloma
Results
- 40 patient prospective study
- methodology as above
- lab values non-specific in all cases (myeloma excluded)
- history and examination: primary in 8%
- CXR: primary in 43%
- CT chest / abdomen / pelvis: primary 75%
- overall identification of primary in 85%
- biopsy diagnosed additional 8%
Survival
Ren et al Front Endocrinol 2023
- 1224 patients with bony metastasis unknown origin
- 1 year survival 14%
- 286 cases of bony metastasis unknown origin
- median survival 11.0 months
- median survival solitary bone metastasis 39 months
- median survival multi-bone metastasis 16.0 months
- median survival prostate cancer cases 120 months
- median survival primary lung cancers 9.0 months