Atlas / C1 Fractures

 

Jefferson

 

Epidemiology / Etiology

 

1-2% of all spinal injuries

 

Bimodal distribution

- mid 20s: high energy trauma

- over 80s:  low energy mechanism

 

Falls / MVA / Diving into shallow water

 

Landell's Classification

 

Type 1.  Isolated lateral mass fracture

- axial compression and lateral flexion

 

C1 lateral mass fractureAtlas lateral mass

 

Type 2.  Posterior AND anterior arch fractures (Jefferson)

- axial compression

- +/- transverse atlantal ligament injury

 

JeffersonJeff illustration 1Jefferson illustration 2

 

Type 3.  Posterior OR anterior arch fracture

- axial compression with hyperextension (posterior arch)

- axial compression with hyperflexion (anterior arch)

 

C1 posterior archarch 2

 

Atlas isolated anterior archArch 1

 

Associated injuries

 

High rate of concomitant spine fractures

 

Ylonen et al World Neurosurg 2021

- combination of X-ray, CT, MRI of 47 patients with C1 fracture
- 89% incidence of concomitant cervical spine fractures

- 76% incidence of concomitant C2 #

 

Associated symptoms

 

Vertebral artery injury

- nausea, vomiting, tinnitus, impaired vision, and drop attacks

 

Collet-Sicard syndrome

- posttraumatic lesion to the lower 4 cranial nerves (IX–XII)

 

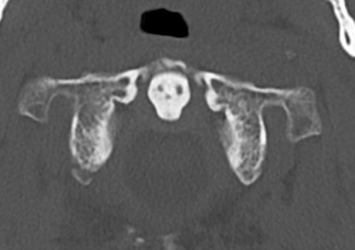
Atlas burst fracture / Jefferson Fracture

 

Stability

 

Stable

- transverse atlantal ligament (TAL) intact

 

Unstable

- transverse atlantal ligament (TAL) disrupted

- bony avulsions

- intra-ligamentous disruptions

 

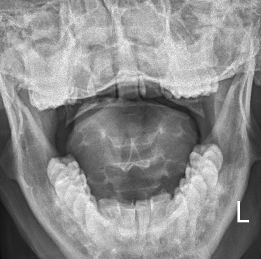
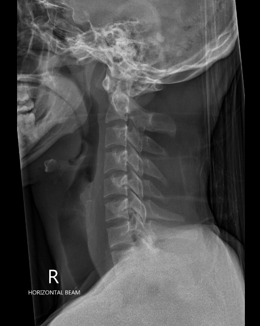
X-ray

 

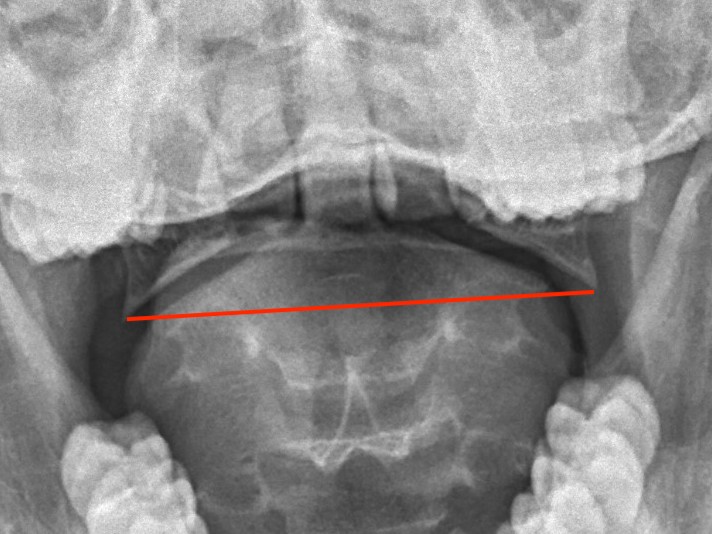
1.  Lateral mass displacement (LMD)

 

Open mouth odontoid view

- sum of lateral mass displacement

- increased LMD suggests TAL injury

 

Kopparapu et al J Neurosurg Spine 2022

- Rule of Spence:  LMD > 6.9 mm predicts TAL injury, instability and need for surgery

- developed in 1970's

- inaccurate in predicting TAL injury

 

Eun et al Medicine 2021

- LMD > 8 mm seen in 90% of patients with transverse ligament injury

 

LMD

Lateral mass displacement

 

LMD 1LMD 2

Increased lateral mass displacement of 8 mm

 

2.  C1/C2 ratio

 

Lin et al Medicine 2019

- C1/C2 ratio > 1.1 80% sensitive of TAL injury

- C1/C2 ratio > 1.15 100% specific of TAL injury

 

C12 ratio 1C12 ratio 2

 

3. Atlantodens interval (ADI)

 

> 3 mm ADI suggests TAL injury

 

Increased ADIADI

Lateral radiographs demonstrating increased ADI

 

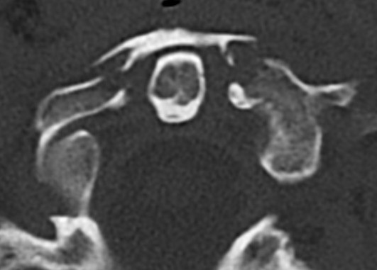
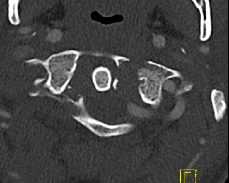
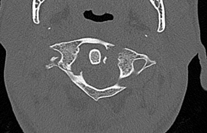
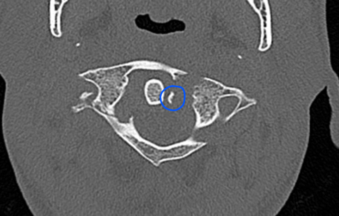
CT

 

Better defines displacement, ADI, LMD and bony avulsions of the transverse ligament

 

Avulsionlig avulsion

CT axial slices "Jefferson" (burst) fracture with bony avulsion (blue) of the transverse ligament

 

CT LMDCT Jefferson

 

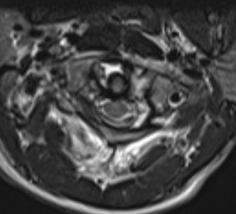
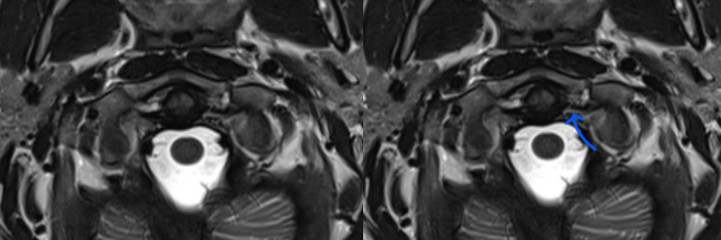
MRI

 

Assess ligamentous injury, specifically transverse ligament

 

Dickman et al Neurosurgery 1996

- type I:  intra-substance TAL tears

- type II:  fractures or avulsions of the TAL from the tubercle of the lateral mass of the atlas

 

MRI

MRI demonstrating intra-ligamentous injury (blue arrow)

 

Jefferson MRI 1Jefferson MRI 2

MRI demonstrating avulsion of the TAL on the left side

 

Stability

 

Indications of instability

- transverse ligament avulsed / disrupted on CT / MRI
- LMD > 7 mm
- ADI > 3-5 mm
- Peg fracture

 

Management

 

Non-operative Management

 

Indication

 

Stable fractures

- anterior / posterior arch fractures

- Jefferson with intact TAL

 

Unstable fractures

- ? increased union rates and better outcomes with operative management

 

Operative versus Nonoperative for unstable atlas fractures

 

Kim et al Acta Neurochir 2019

- 24 unstable atlas fractures

- 13 treated with C1/C2 fixation - 100% fusion

- 11 treated with halo-vest - 73% fusion

- reduced pain and improved outcomes with surgery

 

Shin et al Neurospine 2022

- 53 unstable atlas fractures

- 32/53 ORIF - 100% union

- 21 treated with halo-vest - 71% union, continued increased LMD

- those treated with halo-vest had worse neck pain and outcome scores

 

Options

 

Collar

Halo thoracic brace

 

Jefferson HTB Xray

Post reduction halo xray

 

Jefferson Fracture Flexion Extension Views Stabe0001Jefferson Fracture Flexion Extension Views Stabe0002

Flexion and extension views demonstrating stable Jefferson fracture post halo treatment

 

Operative Management

 

Indication

 

1. Unstable C1 fractures

2. Non-union / ongoing instability after non-operative treatment

 

Options

 

C1 ORIF

C1/2 fusion

 

C1 ORIF

 

Advantage

- preserves C1/C2 motion

 

Posterior / anterior approach

- bicortical lateral mass screws

- reduction

- bridge plate / rod construct

 

C1 ORIFC1 ORIF

C1/C2 fusion

 

Technique

 

Goel Harms

- C1 lateral mass screw

- C2 pedicle screw monocortical to reduce risk of vertebral artery injury

- preoperative CT angiogram important

- must avoid medial penetration of canal

 

Surgical technique PDF C1 C2 fusion

 

Vumedi technique Goel-Harms C1/C2 fusion

 

C1 2 fusion 1C1 2 fusion 2

 

Results

 

C1 ORIF

 

He et al Spine J 2014

- 22 patients

- posterior approach and lateral mass screw / plate construct

- 100% union on CT at 9 months

 

Ma et al Eur Spine J 2013

- 20 patients with anterior / trans-oral approach

- lateral mass screw / plate construct

- 100% bony union at 6 months

 

C1 ORIF vs C1/2 Fusion

 

Yan et al J Neurosurg Spine 2022
- RCT (n=73) ORIF vs C1-2 fusion
- ORIF shorter operative time, reduced blood loss, less radiation, shorter hospital stay, cheaper (all p<0.001)
- improved outcomes and ROM in ORIF group