Definition
Osteonecrosis of the navicular
Epidemiology
Most common age 3 - 8 years
M:F 5:1
Usually unilateral
Bilateral in 20%
Etiology
Repetitive compression to navicular
- last tarsal bone to ossify which makes it susceptible
- interferes with blood flow
- avascular necrosis
Clinical Features
Medial foot pain
Limp
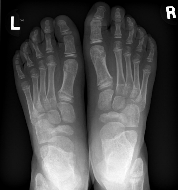
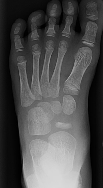
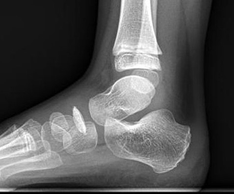
X-ray
Flattening / sclerosis / fragmentation of navicular



Natural History
Pain for 6 - 9 months
Xray resolution 2 - 4 years
No known long term sequelae even with abnormal navicular
Management
Symptomatic relief
Rest from sport
Analgesia
Boot / cast for 6 - 8 weeks may help reduce symptoms more quickly

