Types
A. Bennett's
B. Rolando
- Y shaped intra-articular
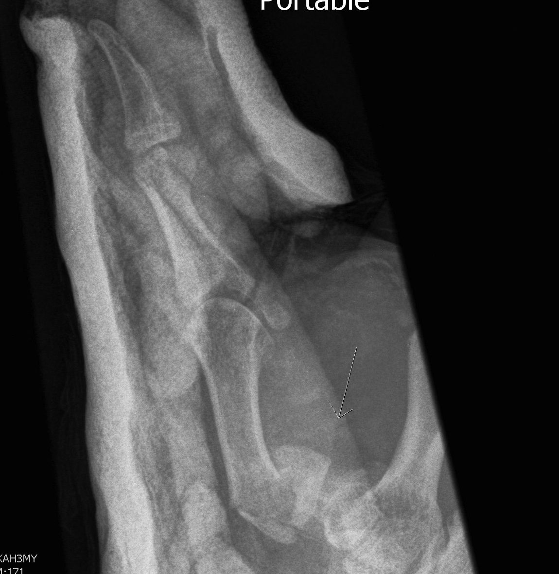
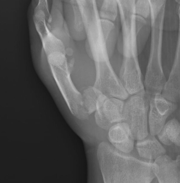
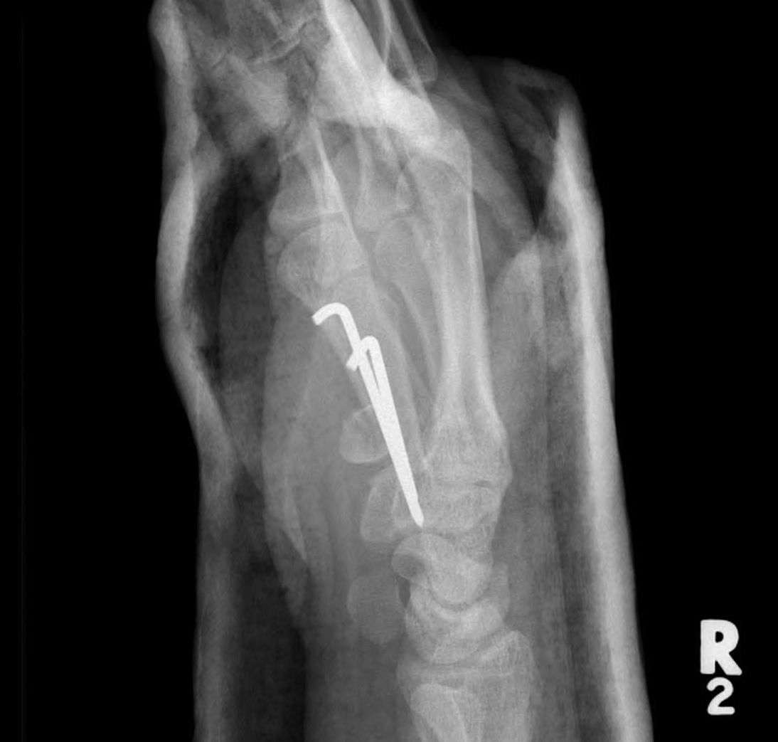
A. Bennett's Fracture



Fracture
- oblique intra-articular fracture
- small volar fragment remains in situ as attached to beak ligament
- metacarpal displaces proximally and dorsally due to APL
- inherently unstable
Management
Closed reduction
- longitudinal traction on metacarpal
- use thumb to reduce metacarpal shaft
- use 2 x K wires to pin metacarpal to trapezium / trapezoid
- 6 weeks in thumb spica cast



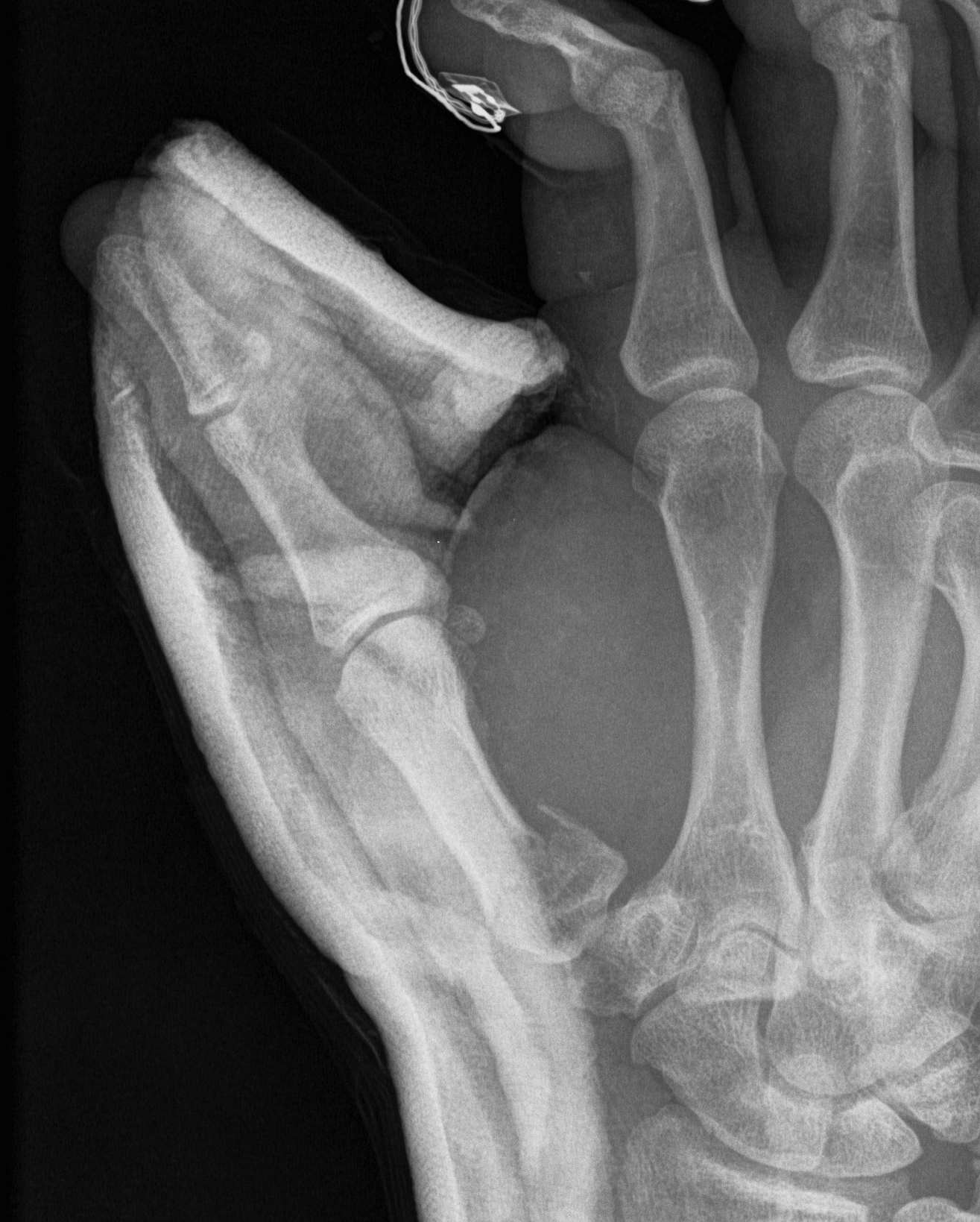
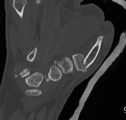
B. Rolando Fracture
Fracture
- 2 small intra-articular fragments
- poor prognosis
Operative management
Indications
Displacement
Technique
Dorsal approach
- protect superficial radial nerves
- between APL / EPB and EPL
- attempt to anatomically reduce and fix with plate