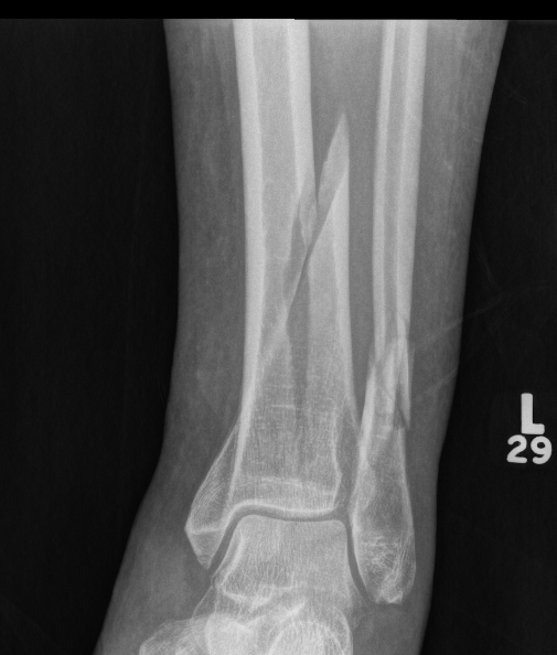
Tibial Plafond / Pilon

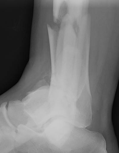
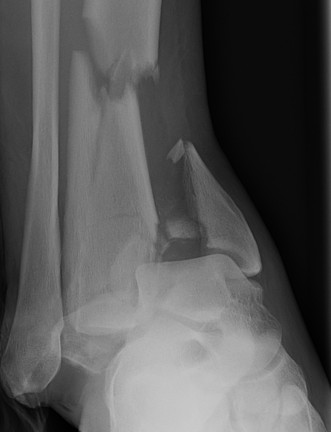
Severe Tibial PlafondAnterolateral fragment and valgus injuryTibial Plafond External Fixator

 

Issues

 

Complex / high energy injuries

 

Management of soft tissues critical / staged treatment

 

Restoration of alignment & joint surface imperative

 

Outcome guarded - high incidence of OA and complications

 

Outcomes

 

Bonato et al. Injury 2017

- 1 year outcome of 91 plafond injuries

- 57% return to work at 1 year

- 27% reported residual moderate to severe pain

 

Pollack et al. JBJS Am 2003

- 80 patients at a mean of 3.2 years post injury

- 35% reported ongoing stiffness and pain

- 43% not working

 

Epidemiology

 

5 - 7% of tibia fractures

35 - 40 years

Males 3 x

 

Etiology

 

Rapid axial load of talus into tibia

Very high energy

 

Anatomy

 

Soft tissues very poor especially over anteromedial tibia

- thin skin

- absence of muscle and adipose tissue

- lack of deep veins

 

OTA Classfication

 

43-A Extra Articular

43-B Partial Articular

43-C Complete Articular

 

Management

 

Staged treatment - External Fixation followed by delayed fixation

 

Management of the soft tissues is the key to a good outcome

 

Spanning external fixation

- holds out length

- helps soft tissues recover

- wait until swelling down

- wrinkled skin, blisters resolved

- wait 3 weeks plus if needed

 

Technique of ankle bridging delta frame

- two pins in the tibia away from surgical site

- transcalcaneal threaded pin placed medial to lateral

- pin in base of first metatarsal to keep foot in neutral position and prevent equinus contracture

- note: pin in base of first metatarsal places deep plantar branch of dorsalis pedis at risk

 

+/- fibular fixation

- can keep fracture out to length / maintain reduction

- must avoid fibula malreduction as makes later tibial ORIF very difficult

- must consider future incisions

- should only be done by definitive surgeon

- best through posterolateral approach

 

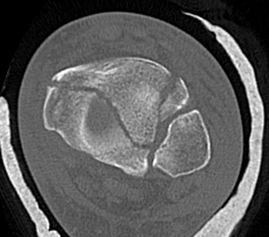
CT after external fixation application

 

AO foundation surgical technique

 

Vumedi bridging external fixation video

 

Tibial Plafond Pre External Fixator APTibial Plafond Pre External Fixator LateralTibial Plafond Post External Fixator APTibial Plafond Post External Fixator Lateral

 

ex fixEx fixx fix

 

Ex fix 1ex fixTibial Plafond External Fixator

 

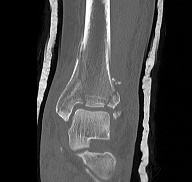
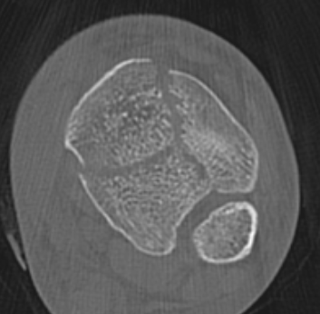
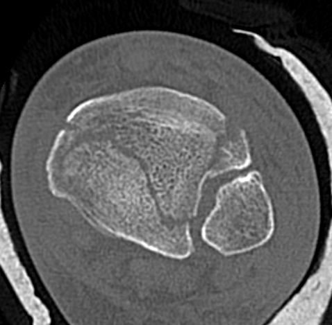
CT scan

 

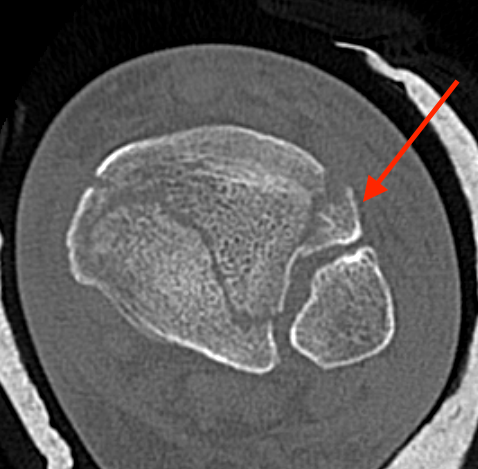
Commonly 3 fracture configurations

- medial malleolus

- posterolateral fragment / Volkmann

- anterolateral fragment / Chaput

 

Tibial plafond common fragmentsTibial plafond fragments

 

Associated injuries

 

Compound wounds

 

Silluzio et al. Injury 2019

- 14 open tibial plafond fractures

- 28% deep infection

- 43% delayed union

 

Fibula fractures

 

Fibular fracture tibial plafondTibial plafond fibular fracture

 

Bonnevialle et al. Orthop Traumatol Surg Res 2010

- may aid reduction if able to anatomically reduce the fibula

- however, may contribute to nonunion

- if fibular fracture is malreduced, can contribute to tibial malreduction and malunion

 

Gallimore et al J Foot Ankle Surg 2024

- meta-analysis of fibular fixation versus no fixation in tibial plafond

- 4 studies

- no difference in incidence of nonunion / malunion

 

Syndesmotic / Syndesmotic equivalent injuries

 

Syndesmotic equivalent fractures tibial plafondChaput fragment syndesmotic equivalent

 

Haller et al. J Orthop Trauma 2019

- 14/735 (2%) had missed syndesmotic injuries

- 93% of these patients developed post traumatic osteoarthritis

- syndesmotic equivalent injuries more common with Chaput (AITFL Ligament) / Volkmann fragments (PITFL) or fibular avulsion

 

Surgical options

 

ORIF with plates

Limited internal fixation + external fixation

IM nail

Primary fusion

 

ORIF versus external fixation

 

Malik-Tabassum et al. Injury 2020

- meta-analysis of ORIF v circular external fixation

- increased rate of hardware removal for ORIF

- reduced rate of osteoarthritis with ORIF

- no difference in superficial or deep injection, or secondary fusion

- no obvious difference in outcomes

- more severe injuries tended to be treated with circular external fixation

 

IM nail

 

Beytumar et al Acta Orthop Traumatol Turc 2017

- comparison of IMN versus plate for simple intra-articular pilon

- increased valgus malunion and recurvatum with nail

 

Primary arthrodesis

 

Beaman et al CORR 2014

- comminuted un-reconstructable pilon fractures

- anterior plate fusion in 12 ankles

- 9/12 required external fixation for metaphyseal fracture

- healed at 4 months with 88% good or excellent result

 

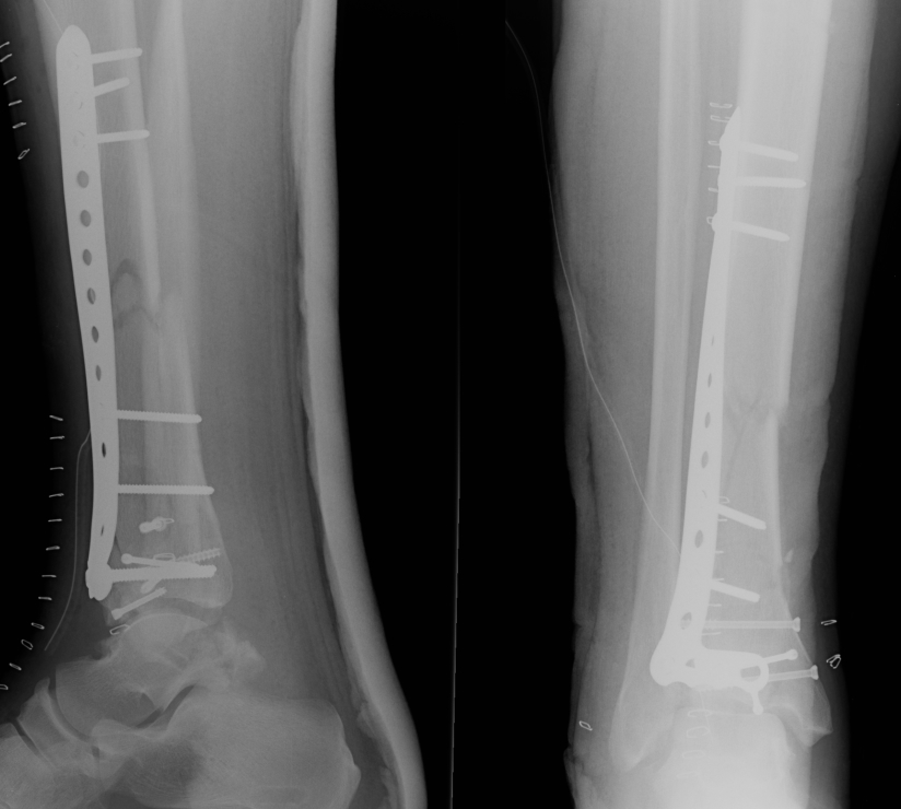
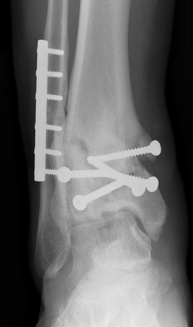
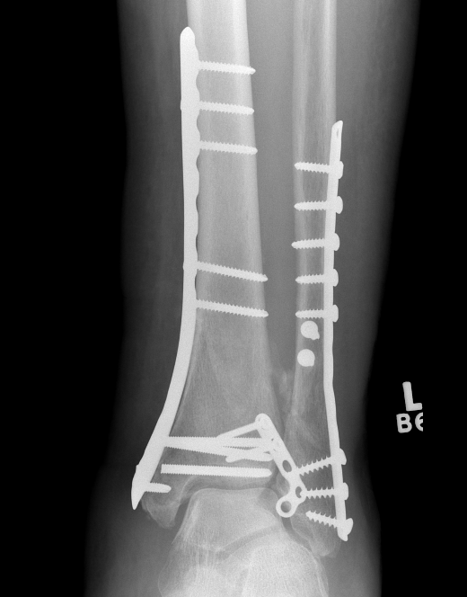
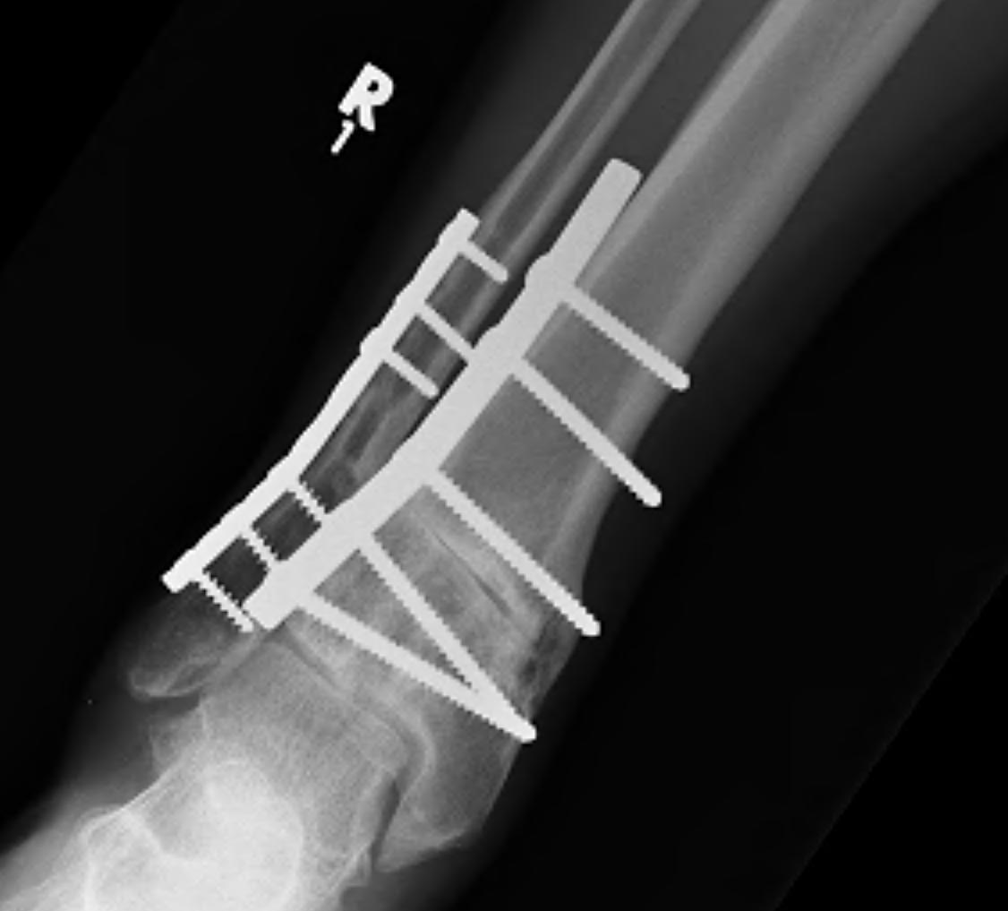
ORIF with Plates

 

Principle

 

Restore articular surface

Fix articular surface to metaphysis

 

Techniques to minimize complications

 

Long delays until definitive surgical treatment using initial spanning external fixation

The use of small, low-profile, anatomical implants

Avoidance of incisions over the anteromedial tibia

All incisions 7 cm apart

The use of indirect reduction techniques minimizing soft tissue stripping / MIPO

Careful surgical management of the soft tissues at all times

 

Surgical Approaches

 

1. Anteromedial - between tibialis anterior and saphenous nerve / vein

2. Anterior - between tibialis anterior and EHL

3. Anterolateral - between fibula and peroneus tertius

4. Posteromedial - between FHL and NV bundle

5. Posterolateral - between peroneal tendons and FHL

 

Vumedi surgical approaches for Pilon fractures

 

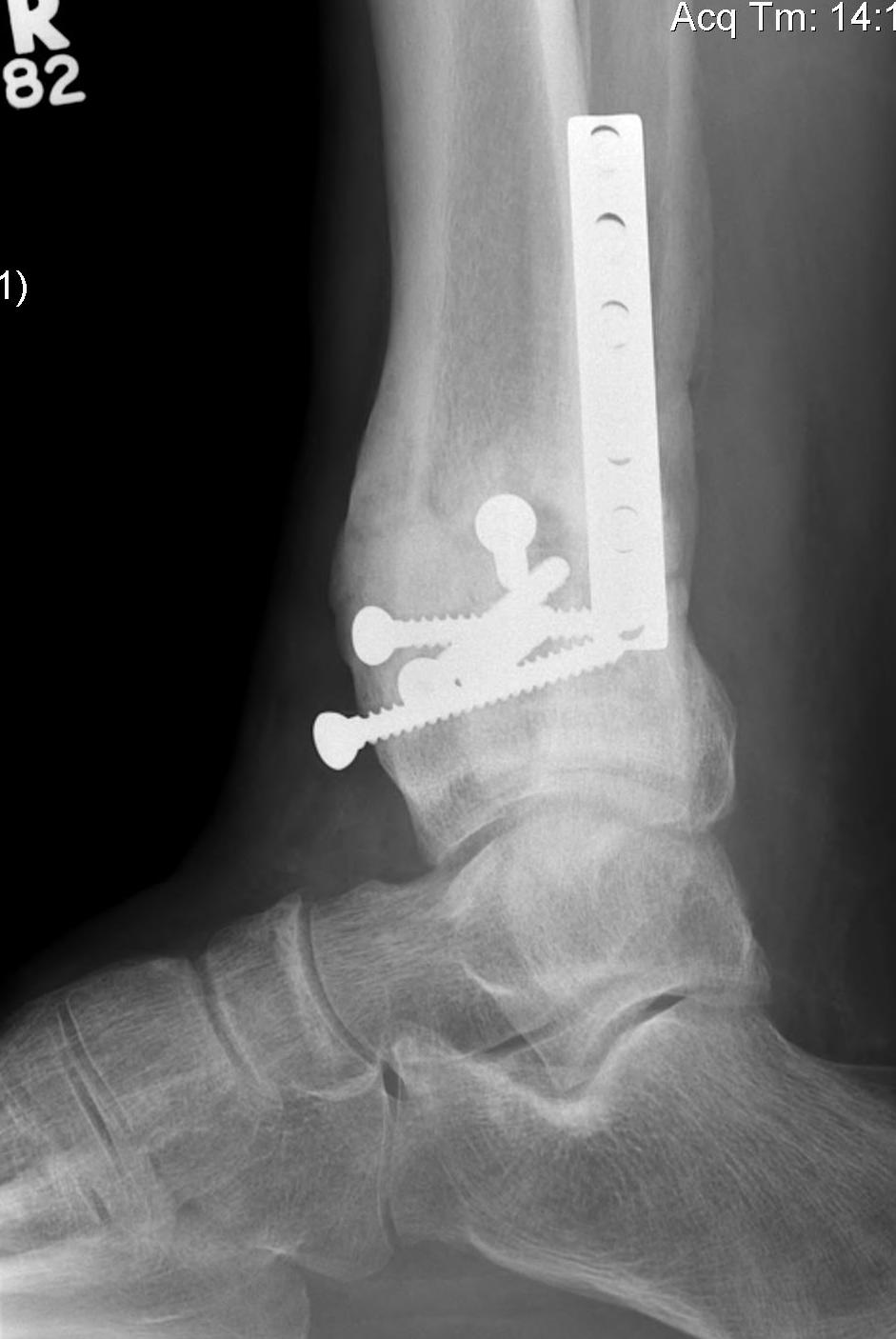
Anatomical Plates

 

Medial plateAnterolateral plate

Synthes medial plate                               Synthes anterolateral plate

 

Anterolateral / anterocentral approach

 

Indication

- anterolateral / Chaput fragment

- valgus configuration

- anterolateral plate

 

Issue

- will not stabilize medial fragments

- need separate incision

 

Incision

- anterocentral: centered on ankle joint

- anterolateral: in line with 4th metatarsal

- preserve branches superficial peroneal nerve

- divide extensor retinaculum

- anterolateral: all extensor tendons reflected medially, including peroneus tertius

- anterocentral: between tibialis anterior and EHL

 

PlafPlafplafPlaf

 

plafplafplafplaf

 

Anteromedial approach

 

Indication

- large medial fragment

- varus configuation

- anteromedial plate

 

Issue

- skin and soft tissues poor

- increased risk of wound complication

- use MIPO techniques

 

Technique

- medial to tibialis anterior

- extensor compartment retracted laterally

- can make small anterolateral incision to fix small Chaput fracture

 

Tibial plafond medial plate 1Tibial plafond medialTibial plafond medial plate 3

 

Tibial Plafond CT AxialTibial Plafond CT SagittalPlafondTibial Plafond ORIF APTibial Plafond ORIF Lateral

 

plfaplafplafplafplaf

 

Posterolateral approach

 

Indication

- large posterior tibial fragment requiring buttress

 

Technique

- patient lateral decubitus or prone

- incision halfway between tendoachilles and fibular

- approach to posterior tibia: between peroneals and FHL

- approach to fibular: anterior to peroneal tendons

 

Surgical Technique

 

AO surgery reference technique

 

Position

- supine on radiolucent table

- IV antibiotics

- tourniquet for 2 hours then release

 

Consider fibula ORIF

- holds fracture out to length

- via posterolateral incision

- need wide skin bridge from anterior incision

- must avoid malreduction

 

Anatomical reduction joint surface

- open fracture site / open joint / washout haematoma

- can apply femoral distractor to view joint surface

- 4 mm Shanz pins in talar neck laterally, and into tibia proximal to plate

- examine talar dome using periosteal elevator

- ORIF small osteochondral fragments with small modular screws (1.5 - 2 mm)

 

Attach metaphysis to diaphysis

- anatomically contoured low profile locking plates

- anterolateral L shaped plate via anterior wound

- small incisions proximally to insert screws

- 8 cortices above fracture

- small medial incision to insert medial plate percutaneously / MIPO techniques

 

Limited Internal Fixation + External fixation

 

Indications

 

Poor skin

Multiple co-morbidities

High risk of wound complications

 

plafplafplafplaf

 

PilonPilon

 

Technique

 

Limited internal fixation

- anterior approach

- reduction and fixation of joint line

 

Hybrid external fixation

- HA coated Schanz pins in proximal tibia

- +/- calcaneal pins

- +/- olive K wires in distal tibia

 

Results

 

Legg et al Cureus 2022

- systematic review of circular external fixation for tibial plafond

- 303 patients

- mean time to union 21 weeks

- malunion in 12%

- 54% pin site infections, 5% deep infection

- 33% excellent functional outcomes

 

Wang et al J Foot Ankle Surg 2015

- systematic review of ORIF versus external fixation + limited internal fixation

- 500 fractures

- no difference in complications / union rates / outcomes

 

Complications

 

Wound breakdown

 

Tibial Plafond Wound Breakdown

 

Deep infection

 

Bullock et al J Orthop Trauma 2022

- systematic review of Type C plafond fractures

- 9% rate of deep infection

 

Shafiq et al J Orthop Trauma 2023

- 175 pilon fractures

- increased risk of infection with surgical time > 120 minutes

- increased risk of infection with fibular plating

 

Stiffness

 

Osteoarthritis

 

Harris et al. Foot Ankle Int 2006

- 79 pilon fractures with mean follow up 2 years

- 40% developed post traumatic arthritis

 

Malunion

 

Distal Tibial Malunion APDistal Tibial Malunion LateralDistal Tibial Malunion CTDistal Tibial Malunion Correction

Nonunion

 

Haller et al. J Orthop Trauma 2019

- incidence of nonunion 14% (72/518)

- associated with open fractures, bone loss, and smoking