Skip to main content
Home
The Bone School
The source for orthopaedic knowledge

Breadcrumb

  1. Home
  2. DDx
  3. Tumour

Diaphyseal Lesions

 

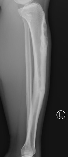
Osteofibrous DysplasiaAdamantinomaEwings

OFD                    Adamantinoma                                Ewings

 

HALFEE

 

Histiocytoma (MFH)

Adamantinoma     

Lymphoma

Fibrous dysplasia / OsteoFibrous dysplasia

Ewing's

Eosinophilic Granuloma

 

 

  • Diaphyseal lesions

Book traversal links for Diaphyseal Lesions

  • ‹ Sclerotic Bone Lesions
  • Up
  • Epiphyseal Lesions ›

Table Of Contents

  • Welcome to The Bone School
  • Upper Limb
  • Lower Limb
  • Spine
  • Paediatrics
  • Tumour
  • Surgical Approaches
  • Trauma Principles
  • Examinations
  • Imaging
  • DDx
    • General
    • Lower Limb
    • Paediatric
    • Pneumonics
    • Spine
    • Surgical Sieve
    • Tumour
      • Lucent lesions
      • Sclerotic Bone Lesions
      • Diaphyseal Lesions
      • Epiphyseal Lesions
      • Age Prediction
      • Bone Multiloculated Defect
      • Foot Soft Tissue
      • Limb Salvage Contra-indications
      • Lymphatic Spreading MSK Tumors
      • Lytic Lesions Sclerotic Rim
      • Male vs Female
      • Polyostotic
      • Sclerotic Cortical Lesion
      • Small Round Cell Tumors of Bone
      • Soft tissue Calcification
      • Soft tissue mass
      • Spinal Tumours
      • Vertebroplanar
    • Upper Limb
  • Miscellaneous
  • About Us
  • Exam Cases

Search