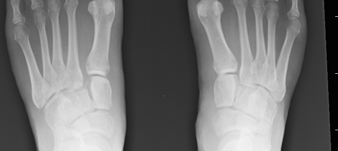
Lisfranc injuries
History
Jacques LisFranc De St-Martin (1790 - 1847)
General Surgeon in Napoleonic army
Mechanism
High energy
1. Twisting / Abduction injury of forefoot
- original description is fall from horse with foot caught in stirrups
- MVA
2. Axial Loading