techique
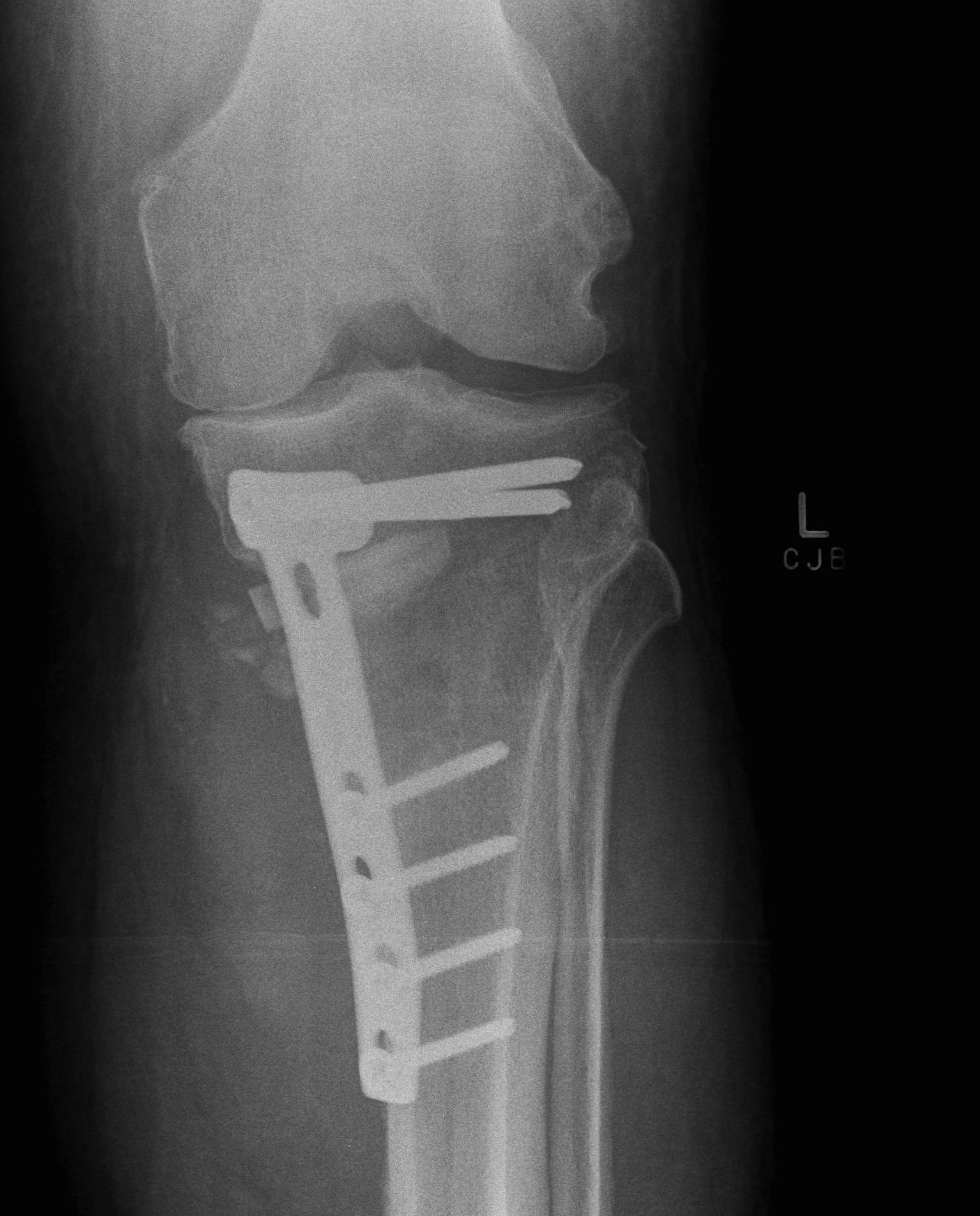
Medial Opening Wedge HTO
Position
- patient supine on radiolucent table
- place ECG lead and artery clip over centre of femoral head
- useful to put II ipsilateral to leg, and place knee on cassette
Arthroscopy
Indication
Diagnostic
Pain / Stiffness / Locking
Instability
- exclude OCD
Assess syndesmosis
Therapeutic
Synovitis
Osseous lesions / Tibiotalar impingement spurs
Osteochondral defects
